Niivue UI

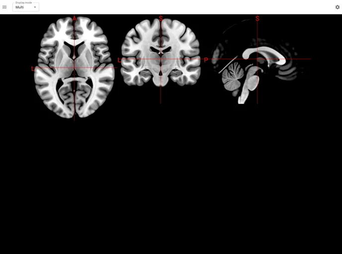
screenshot of Niivue UI
react
vite

The React Material UI interface for NiiVue

Overview

NiiVue is an innovative WebGL 2.0 medical image viewer specifically designed for web environments. It incorporates a user interface project known as NiiVue UI, which serves as a reference implementation for utilizing various controls such as sliders, buttons, and inputs that enhance user interaction with its core functionalities. Built using React and Material Design components, this tool aims to provide a seamless experience for users working with medical images.

Designed with flexibility in mind, NiiVue UI offers easy interactions and is suitable for use by developers and organizations in the medical field. While the repository for NiiVue showcases some limitations on its activity, it is backed by a commitment to usability and innovation, enabling both casual users and professionals to leverage its capabilities effectively.

Features

  • WebGL 2.0 Compatibility: Utilizes the latest WebGL features, allowing rich visualizations of medical images on modern web browsers such as Chrome, Firefox, and Safari.

  • User-Friendly Interface: Incorporates intuitive controls such as sliders, buttons, and inputs to make interactions with medical images straightforward and efficient.

  • Responsive Design: Ensures functionality across multiple devices including laptops, desktops, tablets, and phones, enhancing accessibility for all users.

  • Open Source Contribution: Encourages community participation where users can contribute to documentation, feature enhancements, and bug fixes through an open issue board.

  • Local Development Support: Provides clear instructions for setting up a local environment with Node.js and npm, making it easy for developers to clone, modify, and test the project.

  • Semantic Versioning: Uses semantic versioning for updates, ensuring that users are always aware of changes and improvements made to the software.

  • Active Community Projects: Supported by multiple institutions, including the University of South Carolina and the University of Oxford, promoting collaboration and research development.

  • Protected Branches: Implements a protected branch strategy to maintain code integrity, ensuring that all changes are reviewed and merged appropriately.

react
React

React is a widely used JavaScript library for building user interfaces and single-page applications. It follows a component-based architecture and uses a virtual DOM to efficiently update and render UI components

vite
Vite

Vite is a build tool that aims to provide a faster and leaner development experience for modern web projects